中国科学家报告说,这种进步可能会改善羊毛的自然奇观-羊毛因其轻盈,柔软,即使在潮湿时也保暖,以及其他特性而被人们视为“奇妙的面料”。
他们说,这项发现可能给羊毛带来“大脑”,将其与其他“智能”织物搭配使用,可以消除皱纹,收缩和“呼吸”以释放汗水。

该研究发表在ACS的Langmuir上,该杂志每两周出版一次:“制造超亲水性羊毛织物”
唐芳琼,李力及其同事指出,羊毛是天然的疏水性或疏水性,这种特性会阻碍诸如抗皱,抗皱整理和染色等增强功能。
羊毛的拒水性也阻碍了其吸收水分的能力,并使羊毛服装发汗。尽管科学家已经开发出使羊毛更具亲水性或吸水性的处理方法,但它们可能不会持续很长时间,可能会损坏织物,并且不环保。
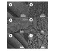
科学家们描述了新涂层的开发,这种涂层似乎可以缓解这些问题。它是由人类头发宽度的1 / 50,000的二氧化硅纳米粒子制成。
颗粒吸收多余的水分,并使羊毛具有超亲水性。科学家指出,新的涂层不会影响羊毛的颜色或质地,并且可以经受干洗。