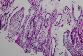
纽约州曼哈塞特 -(美国商业资讯)- 诺斯韦尔健康中心和费恩斯坦医学研究所的研究人员和医生表明,2019年冠状病毒病(COVID-19)导致约37%的住院患者导致急性肾损伤(AKI)耐心。现在,在一系列活体肾脏活检中,Northwell Health的肾脏科和病理学部门的新结果表明,COVID-19中AKI的主要原因之一是急性肾小管坏死(ATN),这是一种涉及肾小管损伤的疾病细胞,可能导致肾功能衰竭。此外,COVID-19感染可引发或加重肾脏的其他疾病。活检显示肾脏组织中不存在病毒。

研究人员于7月13日在《美国肾脏病学杂志》上发表了他们的发现,描述了10例在纽约州最大的卫生系统Northwell Health接受治疗的患者的活检肾脏样本,其负责治疗的住院COVID-19患者数量超过美国任何卫生系统在三月至五月之间–他们的COVID-19测试呈阳性,并表现出AKI的临床特征。肾脏活检样本显示存在ATN,有些还具有其他病理学发现,但在肾脏组织本身中没有该病毒的证据。
该论文的主要作者,费恩斯坦研究所成员,唐纳德和芭芭拉·扎克(Barbara Zucker)助理教授Purva Sharma医学博士说:“肾脏损伤在住院的COVID-19病人中超过三分之一发生,并且已经提出了各种催化剂。” 霍夫斯特拉/诺斯韦尔医学院。“这些活检显示给我们的是,COVID-19造成的肾脏损伤是由于疾病的并发症引起的,而不是由于肾脏直接病毒感染引起的。”
由于已在COVID-19患者中观察到肾脏损伤,因此医学研究界一直在争论直接病毒感染肾脏的问题。通过这项研究,没有超微结构或免疫组化证据显示病毒感染,相反,研究人员假设肾脏损伤的主要机制是缺血/缺氧(缺乏氧气输送至肾脏)或败血症相关。受伤。
Northwell Health肾脏病理学负责人,这项研究的资深作者Vanesa Bijol医学博士说:“这是了解COVID-19在肾脏中发现的病理学发现的重要步骤。” “这将增加有关COVID-19如何影响各种器官的文献。”
本文概述了10例患者(5例男性,5例女性)病例系列的护理方案和活检结果。患者的平均年龄为65岁;五名是黑人,三名西班牙裔和两名白人。所有患者均患有蛋白尿,部分患者患有血尿。所有10例活检均显示不同程度的肾小管损伤。其中八名患者在住院期间需要透析。
“博士 Sharma的工作提供了关于COVID-19如何损害肾脏功能的重要见解,” Feinstein Institutes总裁兼首席执行官医学博士Kevin J. Tracey说。“现在看来可以治疗人体对病毒的反应,而病毒本身并不是预防严重肾脏并发症的关键。”