芝加哥-美国和英国的研究人员报道,谷歌人工智能系统被证明与放射线专家一样擅长通过筛查乳房X线照片来检测哪些女性患有乳腺癌,并显示出减少错误的前景。

这项研究周三发表在《自然》杂志上,是最新的一项研究,表明人工智能(AI)有潜力提高乳腺癌筛查的准确性,这种乳腺癌影响全球八分之一的女性。
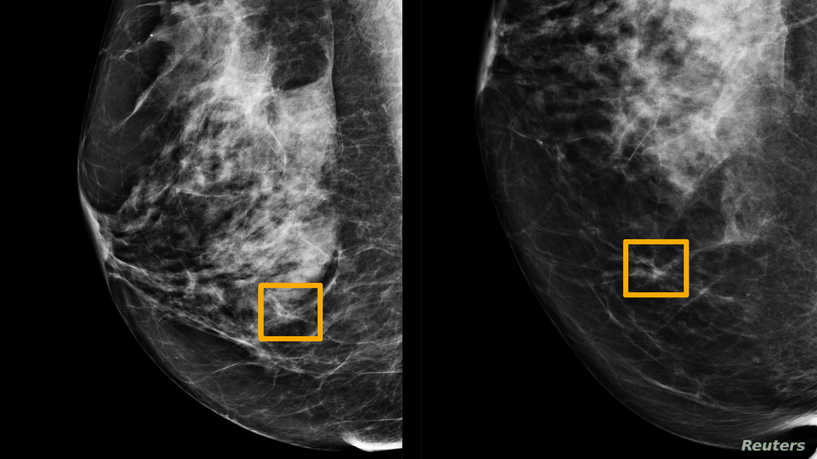
美国癌症协会说,放射科医生在乳房X光检查中错过了大约20%的乳腺癌,并且在10年内接受检查的所有女性中,有一半的人得到假阳性结果stylechina.com。
该研究的结果是由Alphabet Inc的DeepMind AI部门开发的,该部门于9月与Google Health合并,代表了早期发现乳腺癌的潜力方面的重大进展。该论文的作者之一是来自美国西北医学的Mozziyar Etemadi。芝加哥说。
该团队包括伦敦帝国理工学院和英国国家卫生局的研究人员,对系统进行了培训,以识别成千上万的乳房X线照片上的乳腺癌。
然后,他们将系统的性能与英国的25856张乳房X线照片和美国的3097张乳房X线照片的实际结果进行了比较。
这项研究表明,人工智能系统可以以与放射专家相类似的准确度来识别癌症,而在美国的小组中,假阳性结果的数量减少了5.7%,在英国的小组中,减少了1.2%。
它还将错误分类为正常的误报阴性的数量减少了,美国组减少了9.4%,英国组减少了2.7%。
这些差异反映了读取乳房X光照片的方式。在美国,只有一名放射科医生读取结果,并且每隔一到两年进行一次测试。在英国,测试每三年进行一次,每一次都由两名放射科医生读取。当他们不同意时,请咨询三分之一。
“微妙的线索”
在另一项测试中,该小组将AI系统与六名放射线医师进行了比较,发现该系统在准确检测乳腺癌方面表现优于他们。
哈佛大学马萨诸塞州总医院乳腺成像部门负责人康妮·莱曼(Connie Lehman)表示,该结果与使用AI改善乳房X线照片中的癌症检测的多个小组的研究结果相符,包括她自己的工作。
使用计算机来改善癌症诊断的概念已有数十年历史了,计算机辅助检测(CAD)系统在乳腺X线摄影诊所中很普遍,但是CAD程序在临床实践中并未提高性能。
雷曼说,问题是当前的CAD程序已经过训练,可以识别放射线医生可以看到的东西,而借助AI,计算机可以根据成千上万的X线照片的实际结果来发现癌症。
雷曼补充说,这有可能“超越人类的能力来识别人眼和大脑无法感知的细微线索”。
Etemadi说,尽管到目前为止,计算机还没有“超级帮助”,但“至少在成千上万的乳房X线照片中显示的是,该工具实际上可以做出明智的决定。”
局限性
该研究有一些局限性。大多数测试是使用相同类型的成像设备完成的,而美国组则包含了许多确诊为乳腺癌的患者。
CureMetrix首席医学官Lisa Watanabe博士说,至关重要的是,该团队尚未证明该工具能够改善患者护理,他的AI乳房X线照片程序去年获得了美国的批准。
她说:“人工智能软件只有在确实移动放射科医生的转盘的情况下才有用。”
Etemadi同意,需要进行这些研究,同时需要获得监管机构的批准,这一过程可能需要数年时间。