新的扫描结果显示,儿童时期半球切除的人的大脑如何继续运作。

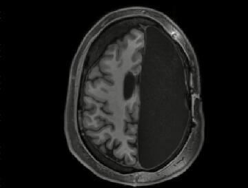
磁共振成像扫描,是在儿童时期由于癫痫而切除了整个半球的成年人大脑的一部分。视频由加州理工学院脑成像中心信用
通过Knvul谢赫
她的第一个儿子出生后不久,莫妮卡·琼斯(Monika Jones)得知他患有罕见的神经系统疾病,大脑一侧异常大stylechina.com。她的儿子亨利每天 忍受数百次癫痫发作。尽管接受了大剂量的药物治疗,但他的小身子却像布娃娃一样,因为其中一集融入了另一集。从3 1/2个月大时开始,他需要进行几次手术,最终在3岁时完成了完整的解剖半球切除术,或者切除了一半的大脑。
该程序最早于1920年代开发,用于治疗恶性脑肿瘤。但是,它在患有脑畸形,顽固性癫痫发作或疾病仅限于一半大脑的儿童中取得了成功,甚至令经验丰富的科学家都感到惊讶。手术后,许多孩子能够走路,说话,阅读和完成日常任务。大约有20%的接受该手术的患者在成年后找到有酬工作。
现在,周二发表在《细胞报告》杂志上的研究表明,由于大脑其余一半的重组,一些人从手术中恢复得很好。科学家们发现了各种各样的网络,这些网络可以吸收被切除组织的松弛,一些大脑的专家学会了像通才一样操作。
加州理工学院的认知神经科学家,研究的第一作者多里特·克里曼说:“大脑非常具有塑性。” “它可以弥补大脑结构的急剧丧失,在某些情况下,其余的网络可以支持几乎典型的认知。”
这项研究部分由琼斯夫人和她的丈夫成立的非营利组织资助,该组织倡导其他需要手术来阻止癫痫发作的人。这项研究的发现可以为那些在幼儿期以后进行半球切除术的人提供鼓励。
当进行半球切除术的人进行大脑扫描以进行研究时,他们的行为就好像其他典型的成年人一样,握着克利曼博士的手,然后闲聊。但是磁共振成像(MRI)的结果表明,这些人的童年时期大脑的一半被切除了。
加州理工学院的认知神经科学家,研究的合著者拉尔夫·阿道夫斯(Ralph Adolphs)说:“每当研究他们的大脑扫描时,我们都会说,'哇,这个大脑真的不应该起作用。' 。“如果您采用的任何其他系统都具有多个部分,这些部分的功能都相互依赖,例如心脏,并且将其分成两半,那么它将无法正常工作。您拿起我的笔记本电脑,将其切成两半,将无法使用。”
大多数大脑网络都使用两个半球来运作。例如,面部识别涉及大脑皮层的两侧。其他技能(例如移动四肢的能力)由大脑的相对两侧处理。右半球控制身体左侧的运动,而左半球控制右臂和右腿。
卡内基梅隆大学的认知神经科学家马琳·贝曼说:“这就像您需要一个乐队的所有不同成员一起演奏才能获得同步和连贯的音乐。”
相反,研究人员发现,尽管只有一个半球的个体的连接类型保持不变,但负责处理感觉运动信息,视觉,注意力和社交线索的不同区域却加强了现有的连接,与普通大脑相比,它们之间的交流更加频繁。
贝尔曼博士说,像喇叭演奏家一样,通常似乎已经被专门化的大脑部分已经与乐队的其他成员进行了交谈,并承担了打击乐器的额外责任。“他们的大脑网络似乎是多任务的。”
该结果对于研究者和家庭试图了解大脑半球切除术后大脑如何适应和功能的研究结果是令人鼓舞的。
克利夫兰诊所的儿科神经病学专家阿贾伊·古普塔(Ajay Gupta)博士说:“我认为越来越多的证据表明,大脑可塑性确实是一个长期存在的现象,”他在手术后随访了近200名儿童。
直到最近,科学共识一直认为,半球切除术最好在很小的年龄(4岁或5岁的孩子)之前进行。这样,随着年龄的增长,他们可以恢复正常的功能。古普塔博士说,虽然儿童早期的神经可塑性更强,但这项新的研究表明,在任意结束日期后不应停止手术。该研究的成年人接受了3个月至11岁的半球切除术。
在患者预后中起更重要作用的一个因素是癫痫发作开始的年龄。手术仍然被认为是医疗后的最后手段。但是,如果可以限制癫痫发作的持续时间和由此导致的脑损伤,则患者可以恢复更多的功能。
加州理工学院的神经科学家,该研究的合著者林恩·保罗说:“另一个半球已经不得不在患者接受治疗之前承担额外的责任。” “当您取出受损的半球时,它将继续这样做。因此,我们真正想要的是保护正在发挥作用的半球。”
八小时的运营并非没有风险。古普塔博士说,必须一次一次地切除脑组织。如果甚至残留细小纤维,它最终也可能导致癫痫发作并影响大脑的健康一侧。还有持续头痛和大脑积水的风险。
手术后,儿童在手术对面的手和臂明显变弱。他们的视线在那一侧变得受阻,他们也可能会失去识别声音来源的能力。“有些事情肯定需要更高水平的康复和学习。例如,阅读,写作和数学。”古普塔博士说。
然而,在许多情况下,这些技能已经被潜在疾病所损害。
琼斯太太希望进一步的研究以及随着时间的推移能追踪更多的患者,将有助于研究人员了解大脑如何发育和组织,从而使信息有助于为广泛的脑部受伤和疾病患者提供针对性的干预措施。
目前,她很高兴自己的儿子能够独立行走,与iPad交流和无需进食管就餐。
她说:“他真的很爱麦当劳。”