REVLIMID的多发性骨髓瘤(MM)患者Debbie N.表示:“每天我醒来,享受我的家人和朋友。我爱我的孙子,感谢与我分享的每一天。我爱阳光stylechina.com。”分享您的时刻”页面。“被诊断出患有MM后,我不确定是否能够再做我的工作。现在,我将重新为社区服务。”身穿警服的Jeffrey S.补充道。REVLIMID是一种具有公认的抗骨髓瘤作用的免疫调节疗法,其页面鼓励患者取得成功,并指出:“小时刻对您的日常生活至关重要。探索与他人息息相关的时刻,并与他人分享自己的灵感。”

REVLIMID或来那度胺将自己描述 为“一种新的无化学疗法治疗组合”。“REVLIMID®与利妥昔单抗产品联合用于治疗以前接受过滤泡性淋巴瘤(FL)治疗的成年患者。REVLIMID®与利妥昔单抗产品联合用于治疗先前已接受边缘性治疗的成年患者区域淋巴瘤(MZL)。” 该药物用于治疗MM,骨髓增生异常综合症(MDS)和套细胞淋巴瘤(MCL)。
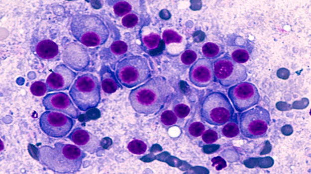
多发性骨髓瘤,也称为卡勒氏病,是一种罕见的癌症,每年仅占不到200,000例美国病例。“多发性骨髓瘤是在称为浆细胞的白细胞中形成的一种癌症。浆细胞可通过制造识别并攻击细菌的抗体来帮助您抵抗感染。多发性骨髓瘤会导致癌细胞在骨髓中积聚,并在那里聚集。出健康的血细胞。而不是产生有用的抗体,癌细胞产生异常蛋白质可引起并发症,”介绍梅奥诊所。
尽管骨髓瘤的病因尚不清楚,但“医生知道骨髓瘤始于骨髓中的一种异常浆细胞-充盈在大部分骨骼中央的柔软的产血组织。异常细胞迅速繁殖。因为癌症细胞没有成熟,然后像正常细胞一样死亡,积累起来,最终压倒了健康细胞的产生;骨髓中,骨髓瘤细胞挤出了健康的白细胞和红细胞,导致疲劳和无法抵抗骨髓瘤细胞会像健康的浆细胞一样继续尝试产生抗体,但骨髓瘤细胞会产生人体无法使用的异常抗体,而是在体内积累异常抗体(单克隆蛋白或M蛋白)并引起诸如肾脏损伤的问题。癌细胞也可能对骨骼造成损害,增加骨骼断裂的风险。”
这就是REVLIMID 介入的地方。“ REVLIMID为您提供了多种抗击多发性骨髓瘤的方法。REVLIMID是一种免疫调节疗法,被称为IMiD®剂,具有公认的抗骨髓瘤作用。REVLIMID是一种口服疗法,已证明是行之有效的以三种方式在动物模型和体外进行。” 首先,REVLIMID将“攻击”,“靶向并杀死骨髓瘤细胞”。然后,该药物将“刺激”,“帮助您的免疫系统识别并破坏骨髓瘤细胞”。最后,药物转移到“饥饿”状态,“通过使血液饥饿来防止新的骨髓瘤细胞生长”。
REVLIMID 的临床试验包括“在新诊断的患者中进行1项REVLIMID和地塞米松的研究,在自动HSCT后进行2项REVLIMID作为维持疗法的研究,以及对至少接受过1次治疗的患者进行2项REVLIMID和地塞米松的研究。” 首次提到的研究涉及1,623名未接受干细胞移植的新诊断患者,该研究评估了“无进展生存期(PFS)-患者在不恶化的情况下生存多长时间”,“总体生存期(OS)” (自治疗开始以来患者生存的时间长度)和“总体缓解率(ORR)-患者对总体治疗的反应方式”。
该研究的结论是,与仅使用REVLIMID和地塞米松或美法仑,泼尼松和沙利度胺联合使用18个月或同时使用美法仑,泼尼松和沙利度胺的REVLIMID患者相比,服用REVLIMID与地塞米松的患者持续经历的无进展生存(PFS)更长。 (OS)与同时服用美法仑,泼尼松和沙利度胺的患者进行比较”和“较高的总体缓解率(ORR)相比,仅18个月服用REVLIMID和地塞米松的患者为73%,而服用REVLIMID和地塞米松的患者为62%马法兰,泼尼松和沙利度胺的组合。” 后两项研究得出结论,REVLIMID维持疗法可延长无进展生存期和延长进展时间。
凭借如此出色的试验结果,REVLIMID在MM治疗中已被证明具有疗效,并被标记为 “对新诊断为不适合干细胞移植的多发性骨髓瘤患者的一种有效的长期治疗选择。”用另一个人Marc D.的话来说。 MM患者与REVLIMID分享了自己的时刻,现在他度过了自己的时间“每天与家人和朋友过着充实的生活和充满爱的生活”。